보건복지부지정
석가탄신일
keyboard_tab
예약신청
- -
   [개인정보처리방침]

예약이 접수되면 상담원이 전화를 드려
예약을 확인해드립니다.

상담신청
- -
   [개인정보처리방침]

상담이 접수되면 전문 상담원이
직접 전화로 답변 드립니다.

모커리 소개

모커리소개
의료진소개
설립자 인사말
지점소개+
강남 모커리한방병원
의정부 모커리한방병원
검증된 치료효과+
디스크, 협착증 치료효과
수술후재발 협착증 치료효과
척추전방전위증 치료효과
전위증, 유합술 후 재발
협착증 치료효과 논문
전방전위증 치료효과 논문
한양방협진
공지사항
모커리 언론보도
보건복지부
탕전실인증제 통과
오시는길/진료시간+
강남점 오시는길/진료시간
의정부점 오시는길/진료시간
치료후기+
척추관협착증
척추전방전위증, 분리증
허리디스크, 허리통증
목디스크, 목협착, 목통증
수술후통증, 마비
디스크내장증
경추척수증
오십견,회전근개파열
엘보
무릎관절염
구안와사(안면마비)
교통사고
모커리TV+
척추관협착증
허리디스크
목디스크
영상 치료후기
영상치료후기 페이지+
경추척수증 비수술 재활치료후기 양손 마비와 보행 시 균형을 못 잡고 비틀거리는 환자분
경추척수증 비수술 재활치료 후기, 젓가락질과 단추 끼우기가 어렵고 걸으면 발을 헛딛는 환자
경추척수증 목디스크 수술 후 근육신경 재활치료후기 3년 간 회복되지 않는 마비 힘빠짐 통증 감각이상 재활치료후기
경추척수증 비수술 치료후기, 손에 힘이 빠지면서 글씨 쓰기가 어렵고, 가슴 아래 감각 마비, 다리에 힘이 빠지는 환자분의 근육신경재활치료후기

척추협착증수술후통증, 수술을 두 번 받고도 양쪽 다리통증과 한쪽 다리 발목마비(풋드랍)로 걷기 힘들어 유합술 권유 받은 환자분

“오른쪽 다리 저림 증상이 가장 불편했어요”

작년 여름부터 본격적으로 아프더라고요. 저림 증상이 오른쪽 다리를 타고 내려오면서 장딴지가 그렇게 아프더라고요.

“1년 전부터 다리 힘빠짐 족하수 증상이 있었어요. 10분 정도 걸으면 왼쪽 다리가 터벅터벅 거려요”

한 1년 전인가 개천에서 운동을 했는데 갑자기 왼발이 툭 떨어지는 느낌이 들더라고요. 그때는 그런가 보다 하고 그냥 안 아프니까 견뎠던 거죠. 아픈 걸 못 느껴가지고. 그냥 쉽게 얘기하자면 걸어가는데 걷다가 한 10분 지나면 왼쪽 다리가 터벅터벅거려요. 오른쪽처럼 자연스러운 게 아니고 그냥 터벅터벅거려요. 발목에서 힘이 빠져요 계속. 근데 힘이 빠지는 거지 아프니 않으니까 심각한 건지 몰랐죠.

“걸으면 장딴지가 아파서 걷다 서다 그랬어요. 고통이 너무 심해서 5분도 못 걸었죠”

저녁에 작업 끝나고 근무지에서 지하철까지 한 15분 걸려요. 그때부터 시작해서 계속 장딴지가 아파서 걷다가 좀 서 있고 걸어오다가 좀 서 있고 그랬어요. 너무 고통이 심해서 나 혼자 걸어가는 게 아니라 동료들이랑 같이 가니까 잠깐만 쉬었다 가자고 그랬죠. 5분도 못 걸었어요. 작업 현장에서 지하철역까지 가는 길이 언덕이 좀 높은 편이에요. 거기를 걸어 올라오면 힘들어요.

“MRI 검사를 하고 병원에서 나사 박는 척추유합술을 권유 받았어요”

작년 추석 때 하도 안 좋아서 MRI를 한번 찍었어요. 병원에서 MRI 찍고 나서 의사가 나사를 박으라고 하더라고요. 그래서 나사 박는 건 아내하고 상의를 한 거죠. 근데 나사를 박으면 나사 박은 자리는 고정이 되지만 그 위에 있는 척추가 더 망가질 수 있다. 그러면 그때는 답이 없다고 하더라고요. 그래서 수술하면 안 되겠다 생각했죠.

“주사 여러 번 맞았지만 별로 효과가 없더라고요”

주사 맞았어요. 꼬리뼈에 놓는 주사 4번 맞았어요. 처음에는 효과가 조금 있었는데 마지막 네 번째 맞을 때는 별로 효과가 없더라고요. 효과도 없고 걸어가면 다리가 당기고 아프니까 허리를 펴면 방사통이 쫙 내려가요. 그래서 신경주사도 포기하고 아내하고 상의를 해서 모커리로 오게 된 거예요.

“아내의 추천으로 모커리에 오게 됐어요. 그런데 저는 한방으로 과연 치료가 되겠냐고 반신반의 했죠”

아내가 추천을 해서 모커리에 오게 됐어요. 모커리에 전화를 해서 통화를 하고 아내가 모커리 가서 해보는 데까지 해보자, 모커리가 좋다고 소문도 났으니까 가서 한번 치료해보자 그래서 온 거예요. 아내가 적극적이었어요. 저는 한방으로 과연 치료가 되겠냐 속마음이 그거였죠. 그렇잖아요. 사람이라는 게 치료효과를 안 겪어봤으니까 모르잖아요. 겪어봐야 알잖아요. 안 겪어보고는 모르니까 속으로는 과연 한방으로 될까 아내랑 이야기도 했어요. 아내한테 모커리한방병원에 가서 과연 나아질 수 있을까 했더니 어쨌든 모커리 가서 치료해보고 결과를 보자고 하니까 왔죠.

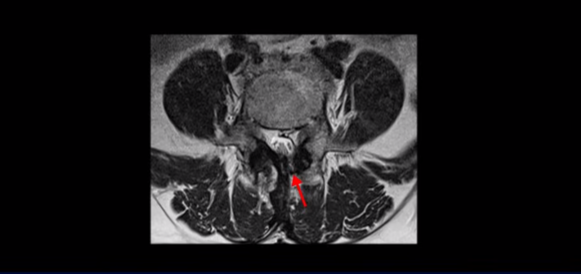
이 환자분은 협착증 수술을 두 번 받은 뒤에 또 다시 다리 방사통이 심해지고 발목 마비 증상(풋드랍)이 생겨서 이번에는 유합술을 권유받은 환자분입니다. 먼저 MRI를 보고 설명해 드린 후 이런 환자분의 방사통과 발목의 마비와 힘 빠짐이 어떻게 수술 없이도 좋아질 수 있는지 그리고 치료는 어떻게 하는지 자세히 설명드리겠습니다.

이분은 허리 다섯 마디 중 4번 5번, 5번 1번에 감압술로 눌린 신경을 풀어주는 수술을 받았습니다.

후관절을 떼어낸 흔적이 보입니다.

단면으로 보면 왼쪽 후궁을 제거한 흔적이 보입니다.

5번 1번도 왼쪽 후궁을 열고 수술 받았습니다.

하지만 중심성 협착은 여전히 심한 상태입니다.

이분은 오른쪽, 왼쪽 다리에 모두 방사통이 심하고 왼쪽 다리에 마비 증상, 즉 풋드랍(족하수) 증상이 있습니다. 왼쪽 신경 가지가 빠져나가는 추간공을 보면 두 마디가 좁아져 있습니다.

이런 신경 구멍이 좁아져 있는 걸 협착이라고 합니다.

이미 앞선 두 번의 수술로 뼈와 인대 등을 일부 제거해서 안정성이 떨어진 상태에서 추가로 수술하려니까 척추가 너무 불안정해져 무너질 게 걱정되니까 이번에는 나사 박는 유합술을 권유 받은 겁니다. 이런 환자분들의 방사통과 마비 증상이 어떻게 수술 없이 좋아질 수 있을까요? 치료는 어떻게 하는 걸까요?

저희가 저희 비수술 협착증, 전방전위증, 디스크 치료를 근육신경 재활치료 또는 허리기능 재활치료로 부르는 이유는 모든 척추 질환의 방사통과 마비 증상은 신경만의 문제가 아니고 신경과 근육 복합체의 문제이기 때문입니다. 신경이 일으키는 통증은 근육층을 통해서 나타나고 마비 증상 또한 신경이 신호를 보내주어도 근육이 움직이지 못하니까 힘이 빠지고, 그게 운동 마비인 겁니다.

정리하자면 이런 겁니다. MRI로 신경이 눌려 보여도 허리 근육 기능이 좋으면 안 아플 수 있고, 그런 사람들이 매우 많습니다. 반대로 수술로 신경을 잘 풀어줘도 허리 근육 기능에 문제가 많으면 통증이나 마비가 좋아지지 않는 사람이 많습니다. 신경이 신호를 잘 보내도 근육이 못 받아주면 움직일 수가 없고, 그게 마비인 겁니다. 그래서 저희 치료 이름을 근육신경재활치료 또는 허리기능재활치료라고 하는 겁니다.

허리에서만 눌린 신경을 풀어주는 수술과는 달리 허리부터 발바닥까지 신경이 근육층을 따라 지나가는 곳을 하루에 4번 이상 반복해서 치료합니다. 침, 약침, 봉침, 도수치료, 물리치료, 운동치료 등으로 하루 4번 이상 신경과 근육을 함께 자극하여 신경과 근육 사이의 신호 흐름을 좋게 만들기 위해 다양한 치료를 진행합니다. 또 저희가 개발한 운동으로 허리 근육 기능을 회복시킵니다. 2주~4주 정도 이런 근육신경재활치료를 통해 허리 기능이 좋아지고 신경과 근육 사이의 신호 흐름이 좋아지면 방사통이 좋아지고 마비 증상이 좋아지는 겁니다. 이제 이해가 되셨나요? 이 환자분은 3주 입원집중치료하고 퇴원하셨는데요. 이분의 치료 결과는 어떻게 됐을까요? 많이 좋아지셨을까요? 발목의 힘도 돌아왔을까요? 이분의 치료 후 결과가 궁금하시다면 아래 영상을 꼭 보시길 바랍니다.

모커리한방병원 협착증수술후통증 치료후기

▼협착증수술후 더 악화된 발목마비(족하수,까치발안됨)와 방사통 근육신경재활치료후기▼

▼ 척추협착증 다분절 유합술후 엉덩이 다리통증 치료후기, 수술이 잘됐다면 근육 문제라구요! ▼

▼ 척추협착증 전방전위증 근육재활치료후기, 2번의 수술로도 좋아지지 않은 방사통, 마비 증상 ▼

▼ 척추수술 후 통증(허리디스크 파열 척추유합술) 수술 후 새로 생긴 방사통과 마비 근육재활치료후기 ▼

▼ 척추협착증 디스크 수술후에도 풀리지 않는 다리마비 오른쪽 까치발X 왼쪽 족하수(풋드랍) 근육재활치료후기 ▼

▼ 척추수술(유합술) 후 통증 근육재활치료후기, 수술이 잘 됐다는데도 신경치료만 계속 받은 환자분 ▼

모커리 척추관협착증 ABCDE 한•양방 협진 근육재활치료법

모커리 척추관협착증 ABCDE 한·양방 협진 재활치료법은 수술 없이 협착증을 치료하는 모커리 고유의 비수술 치료방법입니다. 한쪽 다리의 통증만 있는 초기 협착증부터 다리에 힘이 빠지고 몇 걸음 걷지 못하는 말기 협착증까지 ABCDE 척추관협착증 비수술 치료법으로 치료하고 있습니다. 모커리는 수준 높은 임상연구를 통하여 말기 협착증 환자가 ABCDE 재활치료로 통증 없이 걷는 거리가 11배 증가했다는 것을 과학적으로 객관적으로 증명하여 국제학술지에 논문을 발표했습니다.

모커리한방병원 온라인 진료예약