목이 어느 정도로 불편했느냐면요. 누군가가 이 목덜미를 꽉 잡고 있는 것처럼 너무 불편해서 못 견디겠어요. 좀 놔 주세요. 비명을 지를 정도였어요. 너무 아파 갖고 아침에 이 하루를 어떻게 살아야 돼 생각했죠. 말로 표현할 수가 없어요. 승모근, 견갑골 그냥 이 목 밑으로 다 너무 아픈 거예요. 어깨가 빠져나가는 것 같아요. 그냥 살고 사는 거야. 그냥 통증을 달고 사는 거예요. 아파요, 아파. 통증 있은 지가 석 달이죠. 이 통증은 하루 24시간 나를 수도 없이 짓누르고 있었다고요. 못 견디는 거예요.
끔찍해요. 그냥 “아야” 이래요 맨날. 이렇게 조금만 돌려도 너무 아프니까 나도 모르게 아프다고 소리를 내요. 돌리는 순간 “아야” 이 정도로 못 움직여요. 그냥 이 목만 움직이는 동작을 했다 하는 순간에 저도 모르게 아야 소리가 그냥 나오는 거예요. 오른손은 자유자재로 다 올라가요. 근데 이 왼쪽은 여기가 이렇게 안 올라간다고요. 여기까지 안 올라가요.
잠도 못 잤어요. 어느 정도냐면 사람이 자다 보면 몸을 이렇게 뒤척이게 되잖아요. 그러면 벌써 아픈 거예요. 신경이 예민하죠. 빗소리 다 들려요. 미세한 소리까지 다 들려요. 그 정도예요. 밤을 꼴딱 새요.
4월 중순 경에 집안 정리를 하느라 생수 20개가 들어있는 묶음을 몇 개 옮겼어요. 그리고 난 다음에 목이 뻐근해서 마사지 기기를 했는데 몽둥이로 내 목을 두들겨 패는 것 같이 너무너무 아픈 거예요. 목이 찢어질 듯이 아팠어요.
동네에 통증의학과가 있어요. 거기 가서 X-ray를 찍었더니 ‘5번 6번이 많이 나쁘네요’ 그러면서 주사를 놓고 보름치 약을 줬어요. 한 4-5시간이 지났는데도 통증이 그대로 지속되는 거예요. 너무 아프니까 이틀 후에 또 내원을 했죠. 주사를 꽤 여러 군데를 놨어요. 통증이 똑같은 거예요. 뭐든지 삼세 번이라는 게 있지 않나 그래서 다시 또 내원을 했어요. 그랬는데도 아무런 차도가 없는 거예요. 그러고 나서 정형외과를 갔어요. 다시 거기서도 X-ray 촬영을 하고 원장님이 딱 보더니 판독을 안 하세요. 여기서 판독할 일이 아니라는 거예요. ‘소견서를 써줄 테니까 무조건 대학병원으로 가세요’ ‘여기서 치료가 될 수 있는 상태가 아닙니다. 수술할 수도 있을 겁니다’ 들은 거예요.
비수술적인 방법을 한번 강구해보자 해서 한의원으로 갔어요. 한의사가 뭐라고 하냐면 ‘목이 삐뜰어졌다, 인대가 늘어날 대로 늘어났다’ 그래서 한약, 침으로 치료를 진행하겠다, 이러고는 거의 석 달 4월 하순부터 거의 7월 중하순까지 월,화,수,목,금 그냥 날마다 갔어요. 그러면 치료 받은 게 60~70번 일 것 같아요. 효과가 없어요. 치료 받아도 너무 아프고요.
한의원에서 침을 맞고 차도가 없으니까 한방병원으로 가자 하고 강남 유명한 한방병원을 검색하기 시작했어요. 모커리한방병원을 몇 번씩 보는 거예요. 병원 이름이 척추 목, 허리 소리나는대로 ‘모커리’예요. 왜 목과 허리가 이렇게 망가지느냐에 대한 원인 분석을 제시했고요. 또 한 가지는 운동 요법을 정말 자세하게 제시해주셨어요. 이러한 곳은 목과 허리에 완전히 전문적인 곳이다, 난 여기다라고 결정하고 능동적으로 움직여서 모커리에 내원하게 된 거예요. 이걸 고칠 수 있다는 심리적인 것도 중요해요. 나는 ‘끝까지 치료를 받고 나을 것이다’ 이렇게 생각을 하면서 나는 꼭 고쳐야 된다 이런 마음을 갖고 모커리에 왔어요.
먼저 이분 MRI와 X-ray 보면서 간단히 설명해 드린 후 어떻게 목 협착증으로 신경이 눌려서 극심한 목통증과 견갑골 통증이 몇 달씩 지속되고, 고개가 조금도 돌아가지 않고 하루 24시간 아파서 잠도 잘 수 없는 환자가 수술 없이 비수술 치료로 좋아질 수 있는지, 치료는 어떻게 하는지 자세히 설명해 드리겠습니다. 참고로 이 환자분의 치료 후기는 2개입니다. 이분은 허리에도 심한 전방전위와 협착이 있어서 목 치료와 함께 허리 치료도 받으셨고, 허리 치료 후기 영상도 있으니 별도로 보시길 바랍니다.
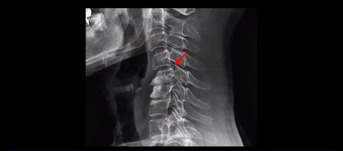
이분 목 X-ray를 보면 역C자형의 목에 전방전위도 보이고,


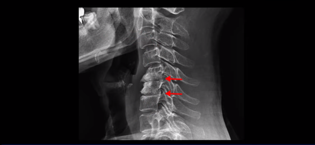
두 마디의 디스크가 거의 닳아서 뼈들이 거의 붙어 보입니다.

목도 많이 휘어 보입니다.

MRI를 보면 2마디 디스크의 퇴행이 아주 심해 보입니다.

그래서 오른쪽 신경 가지가 빠져 나가는 추간공 2개와

왼쪽 추간공 두 개가 모두 많이 좁아져 있습니다.

이렇게 신경 구멍들이 좁아져 있고 신경 주사가 효과가 없으니까 동네 정형외과에서는 무조건 대학병원으로 가라고 했는데요. 가서 수술 받으라는 얘기겠죠. 그런데 저희 모커리한방병원은 협착증은 수술 없이 치료가 잘 될 수 있는 질환이라고 계속 설명하고 있는데요. 왜 그럴까요? 저희가 협착증이 왜 수술 없이 치료 가능하다고 설명하는지에 대해 잘 이해하시려면 무증상 협착이라는 개념에 대해 잘 이해하셔야 합니다.
그럼 똑같이 협착이 있는데 왜 어떤 사람은 아프고 어떤 사람은 안 아플까요? 이게 바로 협착증이 수술 없이도 좋아질 수 있는 가장 중요한 이유입니다. 그건 바로 근육 차이 입니다. 60세가 넘으면 누구나 다 근육이 줄어들고 약해지지만 심하게 뭉치고 굳어버리고 뒤틀리는 사람이 있고 반면에 뭉치거나 굳거나 심하게 뒤틀리지 않고 근기능을 잘 유지하는 사람들이 있습니다. 이렇게 근육에 별문제 없이 근기능을 잘 유지하면 협착이 있어도 협착증 증상이 없을 가능성이 높습니다. 또 목이나 허리에 협착이 있는 상태에서 무리한 일이나 운동 등으로 근육이 뭉치고 굳고 뒤틀리기 시작하면 척추를 지지하는 기능이 떨어지니까 신경이 눌리기 쉽습니다. 그래서 무리하게 일하거나 운동한 후에 갑자기 협착증이 발병했다고 하는 사람들이 많습니다.
그리고 무리한 일을 했다고 신경구멍이 갑자기 좁아지는 일은 없습니다. 신경구멍이 좁아진 건 이미 오래 전 일이고 무리한 일을 하면서 근육에 문제가 생기면서 근육이 목이나 허리를 잘 지지하지 못하게 되니까 신경눌림 증상이 생긴 것이죠. 이분도 목 여러 마디에 협착이 진행되어 신경 구멍이 이미 오래 전에 좁아져 있었지만 아무런 불편감이나 통증 같은 증상이 없이 잘 살고 계셨습니다. 그런데 어느 날 20개들이 생수 묶음을 몇 개 옮기고 난 후에 갑자기 극심한 목통증, 견갑골 통증, 고개를 아예 돌릴 수 없는 증상 등이 생깁니다. 목 주변 근육에 심각한 문제가 생긴 겁니다.
그래서 근육신경재활치료로 뭉치고 굳고 뒤틀린 목 주변 근육의 문제를 해결해 주고 근육의 기능을 회복시키면 신경이 훨씬 덜 눌리게 되고, 아프지 않은 무증상 협착 상태로 바뀔 수 있는 겁니다. 근육재활치료를 통해 근육 기능이 좋아지면 신경 기능이 함께 좋아지는 것이죠. 그래서 저희 치료 이름이 근육신경재활치료인 겁니다. 저희는 이런 놀라운 사실을 널리 알리기 위해 매주 이렇게 치료후기 영상도 찍어서 올리고, 미국 최고의 대학병원인 메이요클리닉과 협착증 공동임상연구를 통해 근육신경재활치료의 효과를 해외 의학 저널에 논문으로 발표도 하고 있습니다. 2019년에 발표한 협착증 논문에 대한 뉴스가 있습니다.
그럼 이런 근육신경재활치료는 어떻게 할까요? 근육신경재활치료는 협착증 환자의 약해지고 뭉치고 뒤틀린 근육 문제를 해결하기 위해 한방, 양방을 통틀어 근육에 관련된 할 수 있는 거의 모든 치료를 다 합니다. 침, 약침, 봉침, 이완추나, 근육의 피로를 풀어주는 한약, 도수치료, 물리치료, 운동치료까지 여러분이 일상적으로 많이 받고 계신 치료가 대부분 다 근육을 치료하는 겁니다.
그런데 협착증이라는 건 10년, 20년, 30년 이렇게 오랜 기간 근육이 줄어들고 약해지고 문제가 생기면서 발생하는 것이기 때문에 근육치료를 간단하게 몇 번 받는다고 해서 이런 오래된 근육 문제가 바로 해결되는 것이 쉽지 않습니다. 여러 번 반복해서 집중적인 치료를 해줘야 합니다. 그래서 보통 통원 치료보다는 입원 치료를 권하는데, 다행히 목 근육은 허리 근육에 비해 치료가 훨씬 더 쉬운 편이고 그래서 통원 치료가 가능한 경우도 많습니다. 그래서 저희 목디스크, 목협착증 치료후기들을 보시면 통원 치료후기가 아주 많습니다.
이분도 통원 치료를 약 20회 정도 받으셨는데요. 그럼, 이분은 약 20회의 통원 치료로 극심한 목통증과 견갑골 통증, 목이 안 돌아가는 증상, 하루 24시간 아파서 잠도 못 자는 증상이 완전히 좋아졌을까요? 이분의 치료 후 결과가 궁금하시다면 아래 영상을 꼭 보시길 바랍니다.
모커리 목디스크 ABCDE 복합치료법은 수술 없이 목디스크를 치료하는 모커리 고유의 비수술 치료방법입니다. 초기 목디스크는 물론 수술을 권유 받을 정도의 힘 빠짐이나 마비를 동반한 중증 목디스크까지 ABCDE 목디스크 비수술 치료법으로 치료하고 있습니다. 모커리는 일반적으로 목디스크가 허리디스크보다 비수술치료로 더 쉽고 빠르게 치료된다는 것을 연구하여 학술대회 등에 지속적으로 발표하고 있습니다.
